HOME ≫ CT検査について ≫
CT検査について
CT検査について
近年、獣医療においても人の医療と同様にCT検査を行える病院が増えつつあります。当院では2018年11月より断層式マルチスライスCT装置を導入致しました。
当院のCTはCannon社製16列ヘリカルCTです。最小スライス厚は0.5mm、ガントリ回転速度は0.6秒/周、AIDRという優れたノイズリダクション機能によって低線量で良好な画像を得ることが可能です。
- CT(Computed Tomography):コンピューター断層撮影
CT検査の特徴
体内の異常を可視化する検査としてはレントゲン検査が最も一般的なものです。レントゲン検査の場合、1方向からX線を照射して、そのデータを書き出していきます。
一方、CT撮影では360°方向からX線を照射し、そのデータを書き出していくため、格段の差がある情報を得ることが出来ます。
最新のCT撮影装置と、その撮影データを最適化し、また、コンピューターソフトを使うことで3Dデータとして作り上げることができるため、病変部が立体的に、まるで体内を透視してのぞいているように見ることができます。
そのため、飼い主様にも病気の状態をよりわかりやすく丁寧にご説明することが可能になります。

頭部CT検査にて観察された腫瘍性病変(青く着色された部分)
撮影法
撮影法には二通りあり、造影剤を使用しない単純CTと造影剤を使用する造影CTがあります。また、時間を設定して繰り返し撮影する多層撮影などの特殊撮影を行うことで、さらにその精度が高まります。
造影剤を用いたCT画像は血管内や血流が豊富な組織が白く描出され、画像のコントラストが明瞭になります。単純CTで区別がつかない病変の発見や血管内・各臓器の血流状態がわかり、診断の上では欠かせない情報となります。腫瘍に関しては腫瘍の良悪性や進行度合いなどの鑑別も可能です。基本的には単純CTと併用して診断に用いられます。
骨の形態異常の診断に用いる場合は、単純CTでも十分に観察できます。

CT検査が有効な病態
CT検査でわかる異常は多岐にわたります。脳からその他臓器、骨、全身の病態の早期発見が可能です。また、腫瘍の浸潤範囲や転移等の確認が可能なため腫瘍の摘出手術を行う際には術前検査としても役立ちます。腫瘍以外でも、その他の検査で原因不明な胸腔・腹腔内の異常・神経学的異常など、CT検査によって明らかになる場合もあります。
全身麻酔によるCT検査
動物のCT検査は全身麻酔下で行います。人間のように静止することも、呼吸を止めることもできないため、正確な診断を行うためには可能な限り綺麗な画像を撮影するとが重要です。その為には全身麻酔が必要となります。安全な麻酔管理を行う上で術前に血液検査等、レントゲン検査などを行い、適用を判断致します。
CT検査の流れ
1
まず麻酔をかけます。
心電図のモニター等を装着し、体を左右対象・まっすぐに無理のない体制に整えます。
2
頭部・身体の位置を合わせて、全身の長さを図ります。
3
準備が整ったら、まずは単純CTです。
吸気に合わせて呼吸を止めて撮影します。
4
次に造影CTを撮影する場合はここで静脈から造影剤を注入します。造影剤によって異常が起きないか注意深く観察します。
5
再び呼吸を止めて、造影CTを撮影します。
6
問題なく撮影ができていることを確認した後、麻酔を覚まします。
その後、体調に特に問題がなければその日のうちに帰宅できます。
症例紹介
症例①:組織球性肉腫
組織球性肉腫とは
極めて悪性度が高い腫瘍で、急速に全身へ播種(種をまいたようにバラバラと広がること)・転移します。好発部位は脾臓・肝臓・肺・骨髄・リンパ節とされていますが、あらゆる臓器で発生する可能性があります。
| 種類 | 犬 ビーグル |
|---|---|
| 年齢 | 8歳(当時) |
| 主訴 | 他院の紹介で腹部内にできものがあり、精密検査をご希望で来院 |
| 検査 | 全身の造影CT検査 |
その後は緩和治療を行い、経過をみました。
症例②:交通事故による顔面多発骨折
| 種類 | 猫 ミックス |
|---|---|
| 年齢 | 1歳(当時) |
| 主訴 | 外から帰ってきたら、顎から出血をしているとのことで来院 |
*手術中の写真を掲載しております。苦手な方はご注意ください。
はじめにレントゲン検査を行いました。頭部以外に外傷はないか胸部も撮影しました。

頭部CT画像(3Dデータ)
CT検査の結果、顔面を複数箇所骨折していることがわかりました。レントゲン検査でははっきりとしない複雑な骨折も、CT検査ではこのように立体的に画像を構築することができるため、より損傷部の状態を把握することが可能です。
ワイヤー等を用い、CT画像を活用しながら整復術を行いました。
術後の口腔内の状態
再び全身麻酔をかけ、頭部・口腔内の検査と抜糸を行いました。

手術から約2ヶ月経過した頭部のCT画像(3Dデータ)
損傷部に特に問題はなく、体調共に良好でした。下顎のワイヤーは残したままで経過を見ました。その後は経過をみてワイヤーを除去する予定でしたが、行方不明になってしまったため状態を確認することができなくなってしまいました。
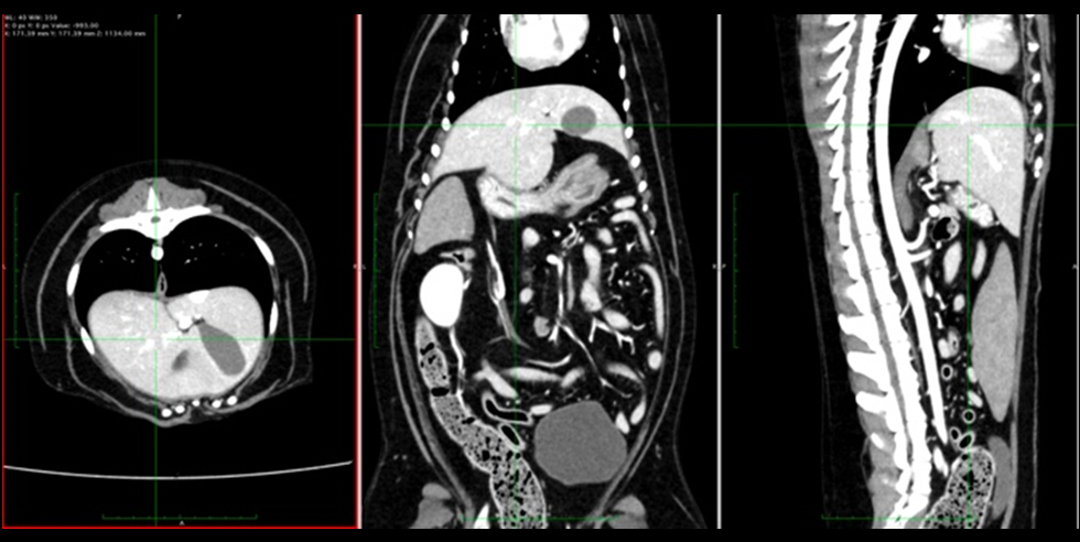
症例③:膀胱・尿道結石
| 種類 | 犬 チワワ |
|---|---|
| 年齢 | 9歳(当時) |
| 処置内容 | 膀胱結石摘出術 膀胱結石を摘出するにあたって、CT検査を行いました。 |
症例④:眼球の腫瘍(軟部組織肉腫)
軟部組織肉腫とは
高齢の犬に多く発生する悪性腫瘍のひとつです。根が深く広いことから再発率が非常に高いといわれております。そのため、外科的処置を行う場合は、腫瘍の部分を大きく切除する必要があります。
| 種類 | 犬 柴 |
|---|---|
| 年齢 | 14歳(当時) |
| 主訴 | 半年前から眼に腫瘤ができているとのことで来院 |
| 眼球摘出 | 眼球と腫瘍の全体像を把握するために、CT検査を行いました。 |


CT検査は「調べる」という目的だけではなく、処置をする上でも活用する場合があります。また、飼い主様にもよりわかりやすく、状態・処置方法などをご説明することが可能です。

